將細菌基因組打斷,是構建文庫的第一步,也是構建多樣文庫的一個重要保障。超聲波和酶切法是兩種常用的斷裂基因組的方法。
下面我們看一下分別用超聲波和酶切法打斷“布魯菌16M株”基因組的效果圖。

對比效果展示

調整超聲時間,打斷結果圖
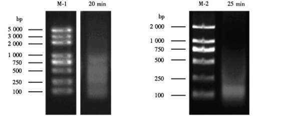
基因組打斷效果檢測分析
基因組打斷效果檢測分析:為了建立布魯菌基因組隨機文庫,通過用Sau3AI 酶切和超聲破碎基因組,得到想要的基因片段,為后續試驗做準備。所需基因片段小于500 bp,片段均勻,大小適中(通過調整不同參數,確定最佳參數)。而通過電泳檢測可知, 酶切法得到的基因片段大多數都是小片段,超聲法得到的片段為一條抹帶,符合后續試驗需要。
超聲法對DNA的打斷是隨機的,且實驗重復性較高。對于那些與DNA結合不緊密的蛋白或低豐度表達的蛋白,如調控因子、轉錄因子等通常需要用交聯試劑固定樣本 ( 細胞或組織) 以穩定蛋白質和DNA的形態,這種情況最好用超聲法。如果樣本無需交聯,例如研究對象是與DNA 結合緊密的蛋白或高豐度表達的蛋白,那么便可以使用酶法。但酶切法得到的DNA片段相對較短,不適合染色質免疫共沉淀技術及與芯片方法的結合(CHIP-Chip) 實驗和染色質免疫沉淀測序(CHIP-Seq) 實驗。
超聲波DNA打斷用到的儀器

超聲波DNA打斷儀采用等溫非接觸的方式對樣品進行打斷、勻漿和混合。用于無菌、可超微量破碎,隔著離心管能打斷染色體。專為二代測序DNA樣本與染色質免疫共沉淀實驗樣本前處理量身訂做。相比傳統的探頭超聲波破碎儀,探頭與樣品直接接觸,一次只能處理一個樣品,實驗周期長。對于多個樣品,需要重復使用同一探頭,容易造成樣品交叉污染。非接觸式樣品可在密閉容器下進行破碎,不產生感染性飛霧,超聲探頭與樣品不接觸,避免交叉污染。對于每天要處理多個樣品或者貴重樣品的實驗室。
非接觸超聲波DNA破碎儀具有處理高通量,樣本低損耗,無交叉污染等優勢。逐漸成為ChiP(染色質免疫共沉淀)和DNA剪切研究平臺不可缺少的標準化工具。
-
非接觸超聲波DNA打斷儀
-
杯式超聲波細胞粉碎機
-
手持式超聲波細胞粉碎機
-
手持式超聲波細胞粉碎機
-
手持式超聲波細胞粉碎機
-
一體式超聲波細胞破碎儀
-
非接觸超聲波DNA打斷儀
-
超聲波粉碎機
-
手持式超聲波細胞粉碎機
-
超聲波粉碎機
-
一體式超聲波細胞破碎儀
-
超微量超聲波細胞破碎機
-
聚能式超聲波DNA剪切儀
-
超聲波粉碎機
-
一體式超聲波細胞破碎儀
-
分體式超聲波細胞破碎儀
-
超聲波粉碎機
-
一體式超聲波細胞破碎儀
-
超聲波振動篩分儀
-
非接觸超聲波DNA打斷儀(單通道/雙通道)
-
超聲波細胞粉碎機
-
一體式超聲波細胞破碎機
-
一體式超聲波細胞破碎儀
-
超聲波細胞粉碎機
-
超聲波細胞粉碎機
-
超聲波振動篩分儀(濕篩)
-
一體式超聲波細胞破碎機
-
智能型超聲波粉碎機
-
超聲波細胞破碎機一體式
-
超聲波細胞粉碎機
-
超聲波粉碎機
-
恒溫密閉超聲波反應器
-
非接觸式超聲波粉碎機
-
一體式超聲波細胞破碎機
-
一體式超聲波細胞破碎機
-
微波超聲萃取儀
-
手持式超聲波破碎機
-
手持式超聲波細胞破碎機
-
手持式超聲波細胞破碎機
-
超頻超聲波換能器
-
VCX1500HV 工業超聲波處理設備 Sonics
-
超頻超聲波發生器
-
VCX134ATDP 超聲波霧化器 Sonics
-
不銹鋼超聲波振動篩
-
超聲波專用破碎杯,Sonics,循環冷卻反應破碎杯
-
智能恒溫靜音超聲波清洗機
-
超聲波振動篩
-
VCX2500 大流量超聲波破碎儀 Sonics
-
非接觸超聲波二維材料分散儀
-
分體式超聲波細胞破碎機
-
分體式超聲波細胞破碎機
-
非接觸超聲波DNA打斷儀 單通道/雙通道
-
土壤有機物多探頭超聲波萃取儀
-
毛發測毒專用低溫超聲波萃取儀
-
高通量超聲波基因組剪切儀
-
一體式低溫超聲波細胞破碎儀
-
VCX130 超聲波細胞破碎儀 Sonics
-
一體式低溫超聲波細胞破碎儀
-
智能型一體式超聲波細胞破碎機
-
一體式多探頭超聲破碎機
-
智能超聲波細胞破碎機一體式
-
一體式超聲波細胞破碎機智能型
-
非接觸超聲波DNA打斷儀雙通道
-
非接觸超聲波DNA打斷儀單通道
-
藥典專用變頻超聲波清洗機XM-VDE系列
-
非接觸超聲波細胞破碎機
-
一體式低溫超聲波細胞破碎儀
-
單槽大容量無極調功率超聲波清洗機
-
VCX750 超聲波處理器 Sonics
-
VCX500 超聲波粉碎機 Sonics
-
VCX130 PB 超聲波破碎儀 Sonics
-
一體式多探頭超聲破碎機
-
UHP液晶高功率系列超聲波清洗機
-
聚能式恒溫超聲波萃取儀
-
XM-T系列超聲波提取機
-
智能型一體式超聲波細胞破碎機
-
單槽大容量靜音超聲波清洗機
-
智能型一體式超聲波細胞破碎機
-
智能恒溫靜音超聲波處理機
-
高端靜音超聲波清洗機
-
液晶無級調功率超聲波清洗機
-
UGF雙頻液晶系列超聲波清洗機
-
UVF液晶超靜音系列超聲波清洗機
-
UHF液晶高頻系列超聲波清洗機
-
ULF液晶低頻系列超聲波清洗機
-
VCX1500 超聲波處理設備 Sonics
-
聚能式超聲波DNA剪切儀

